Joint Replacement Surgery (Hip & Knee)
Replacing damaged joints to restore function and alleviate pain.
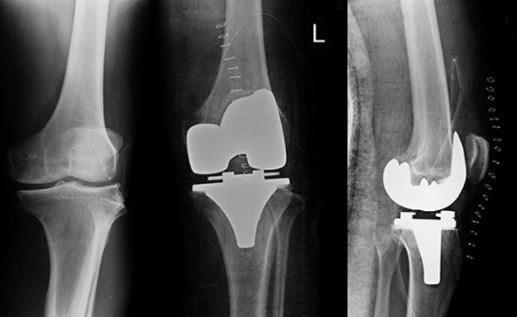
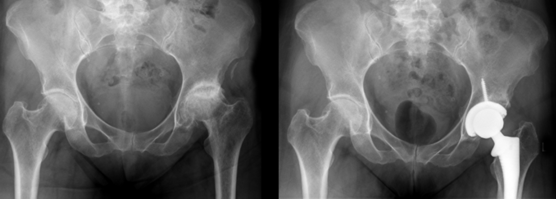
What is Joint Replacement Surgery?
Replacement of a damaged joint with an artificial one made of metal, ceramic, or plastic.




Who Needs Joint Replacement Surgery?
- Patients with severe arthritis
- Those who cannot walk or climb stairs
- Patients unable to do daily work due to pain
How is Joint Replacement Surgery Performed?
The damaged joint is removed and replaced with a prosthesis fixed securely to allow smooth movement.
Benefits
- Dramatic pain relief
- Ability to walk without support
- Restored independence
Risks & Recovery
Potential Risks
Infection, blood clots, implant loosening after many years.
Recovery Timeline
Walking starts in 1–2 days. Full recovery in 6–8 weeks.
Why Choose Spineverse?
Our advanced joint replacement techniques ensure optimal recovery for hip and knee patients. Dr. Varun Khanna's expertise ensures precise diagnosis and personalized treatment plans, leveraging advanced technology to minimize recovery time and maximize outcomes.
- Board-certified specialists
- State-of-the-art facilities
- Personalized care plans
- Minimally invasive options
Patient Success Stories
"My knee replacement surgery ended my pain, and I’m walking again. Thanks, Dr. Khanna!"
- Rajesh M., 58
"After hip replacement, I regained my independence. Spineverse is the best!"
- Meera S., 63